女性獣医師応援ポータルサイト

文字サイズ

  • 標準
  • 拡大

獣医師生涯研修事業Q&A 産業動物編

獣医師生涯研修事業Q&A 産業動物編(日本獣医師会雑誌 第78巻(令和7年)第9号掲載)

症例:馬,ウォームブレッド,9 歳,雄

主訴及び病状:本症例は,海外から輸入したばかりの馬術競技馬であった.輸入直後の10 日間の係留検査を終え,着地検疫を行う牧場に入厩した際に速歩時の右後肢跛行がみられたため,翌日,獣医師による跛行診断が行われた.跛行は右後肢にみられ,跛行Grade3(速歩時に一貫して跛行がある状態)であった.身体検査では右後肢の蹄冠外側に触診痛があったため,蹄のX 線検査が行われたが異常所見はなく,抗菌薬と非ステロイド性抗炎症薬で3 日間治療し,跛行は軽減していた.入厩2週間後に軽度発熱(38.5℃)を認め,右後肢の飛節から遠位部が軽度腫脹,跛行が入厩時と同程度まで悪化した.感染症の存在を疑って5 日間抗菌薬を投与した結果,発熱は軽減したものの,跛行は著変がなく,Grade3 のままである.

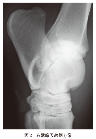
来院時検査所見:視診では右後肢の跛行(Grade3)があり,右飛節以下がやや腫脹していた.触診では腫脹部位の圧痛はあまりなく,飛節の熱感,屈曲痛,及び関節液の軽度増量がみられた.体温は38.1℃,安静時心拍数は52 回/ 分,安静時呼吸数は28 回/ 分であった.また,聴診では拡張期心雑音(Levine 分類3/6)が聴取された.身体検査ではその他に異常所見は認められなかった.臨床検査として,血液生化学検査(表),血清蛋白電気泳動検査(図1),飛節のX 線検査(図2),心エコー検査(図3,B モード及びカラードプラー)を行った.



質問:経過及び検査所見から考えられる本症例の病態を説明しなさい.

解答

質問に対する解答:
微熱,頻脈,頻呼吸,拡張期心雑音(Levine 分類3/6)の聴取,白血球数の著しい増加,TPの高値,A/G 比の低下,グロブリン分画の増加,SAA の軽度高値,心エコー検査B モードでは大動脈弁の疣贅形成,さらにカラードプラーでは大動脈弁左心室方向への逆流がみられたことにより,大動脈閉鎖不全を伴う感染性心内膜炎に罹患していると考えられる.また飛節X 線像では踵骨載距突起部線状透亮像を認めるが,外力による骨折の可能性は否定できないものの,その形状がシャープではなく,そもそも当該部位は骨折の好発部位ではないことから骨折と診断しない.仮に骨折であれば,受傷時にGrade4以上の重度跛行を示すことが一般的であるが,本症例は重度跛行を示すことがなかった.したがって,本症例における右後肢の跛行及び関連した所見は,外傷や骨折によるものというより,感染性心内膜炎により引き起こされた転移性感染,免疫複合体沈着または塞栓に起因した関節炎の可能性が高いと考えられる.


質問に対する解説:
来院時,主訴は微熱と右後肢の軽度腫脹及び跛行ということで,局所に原因があることを疑い,検査を行った.全身性の発熱を伴う跛行としては,フレグモーネ,感染性の関節炎・滑膜炎・骨髄炎等が考えられるが,いずれも重度跛行を示し,触診痛が著しいのが一般的である.さらに,成馬で外傷がみられない場合,感染性の関節炎・滑膜炎・骨髄炎に罹患することはまれである.本症例では跛行はGrade3 であり,常歩では跛行を示さず,速歩を行うことで右後肢跛行が確認できる程度であった.また,右飛節の熱感,屈曲痛,関節液の軽度増量はあるものの,腫脹部位の圧痛は顕著ではなかったため,発熱の原因が跛行肢に起因しているかは判断できなかった.

次に,来院前に何らかの感染症の存在を疑っていたが,来院時の血液検査では,表及び図1 に示すように重度感染症を疑う結果であった.前述のとおり,跛行肢の局所身体検査では重度感染症を疑う兆候が乏しかったため,改めて全身の身体検査を行ったところ,拡張期心雑音,頻脈,頻呼吸が認められ,感染性心内膜炎を疑う所見が得られた.このため,心エコー検査(図2)を行った.心エコーB モードでは大動脈弁の弁尖が肥大し歪な形状となっており,疣贅が形成されていた.さらに,同部位におけるカラードプラーでは大動脈弁を左心室に逆流するジェット血流がみられ,そのジェット血流は心室自由壁に達していた.これらの所見から,感染性心内膜炎と診断した.

本症例の主訴である右後肢の跛行について,身体検査にて右飛節に異常所見がみられたため,飛節のエコー検査及びX 線検査を行った.エコー検査では飛節関節液のわずかな増量がみられたのみであった.X 線検査では,踵骨載距突起部に線状の透亮像がみられたが,その他に異常所見はみられなかった.本症例の跛行には重度感染症が関連していることが推察されたため,この線状の透亮像は,外力が加わることによって生じた骨折というよりむしろ,感染性心内膜炎に関連している可能性が高いことが考えられた.馬の感染性心内膜炎の症状は多岐にわたることが知られている.通常,断続的な発熱,体重減少,元気消失,食欲不振等がみられるが,しばしば跛行や関節液の増量がみられることがある.感染性心内膜炎による跛行の原因としては,転移性感染,免疫複合体沈着及び塞栓が関連していると考えられている.

本症例のその後の経過であるが,血液培養検査を行ったところ,Actinomyces species が分離された.感受性のある抗菌薬にて積極的な治療を行い,症状軽減傾向であったが,輸入から約3 カ月後に突然死した.諸事情より病理解剖を行うことはできなかった.

馬の感染性心内膜炎の比較的まれな疾患であるが,ほとんどの品種,またあらゆる年齢の馬に散発的に発生する.本症は菌血症が前提条件として存在し,細菌が血流を介して心内膜表面に定着することにより生じる.また,馬での好発部位は大動脈弁と僧帽弁であり,その予後は重度の心臓弁病変を有する感染性心内膜炎では長期生存の望みが低いとされている.

最後に,私は本症例を経験させていただき,たとえ主訴が運動器であっても,聴診を含む一般的な身体検査の重要性について再認識することができた.本症例が読者諸氏の診療業務の一助となれば幸いである.


キーワード:馬,感染性心内膜炎,跛行